Back to Chart
Justine Jackson
DOB
06/13/1980
MRN
843200
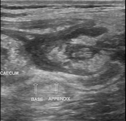
Abdominal Ultrasound
Interpretation
Appendicitis suspected.
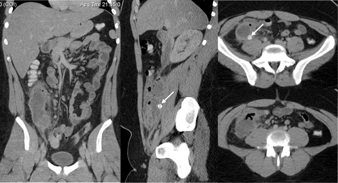
Abdominal CT Scan
Interpretation
Compared results with ultrasound findings. Appendicitis confirmed with slightly ruptured appendix.